Cart (0)

Your Cart is Empty

90 Day Money Back Guarantee

New Cell May Replace Liver Transplants

New Cell May Replace Liver Transplants

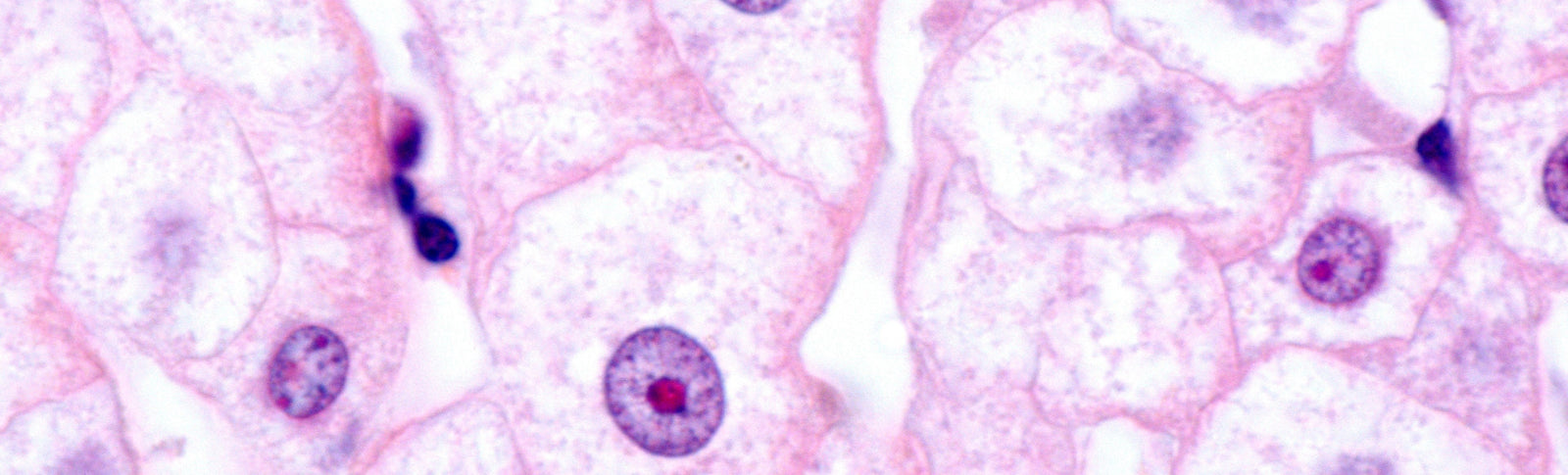
A study conducted at the King’s College London, Centre for Stem Cells Regenerative Medicine, have used sequencing of single cell RNA to help identify a cell type that might have the ability to regenerate tissue in the liver. This discovery could possibly lead to treating liver failure without transplants.

The research team identified a new cell type called hepatobiliary hybrid progenitor (HhyP) which is formed during early development in the womb. HhyP also persist in adults in small quantities and these cell types have the ability to grow into two main types of cells of the adult liver (Hepatocytes and Cholangiocytes) which gives HhyPs properties similar to stem cells.

The researchers examined HhyPs finding that they resemble stem cells in mice which were found to quickly repair livers in mice after major injury such as what might occur in cirrhosis.

This is the first time cells have been found with true stem cell like properties which may exist in the liver in humans. This could in turn provide a large range of applications for regenerative medicine for treating diseases of the liver. This could possibly include bypassing liver transplants.

Diseases of the liver are the fifth largest killers in the UK and the third most common cause of death due to premature causes. And the number of human cases continues to rise. Liver diseases can be due to lifestyle issues such as viruses, alcohol misuse, and obesity, or non lifestyle issues which include genetic mediated disease and autoimmune diseases.

Liver disease symptoms include itching, jaundice, and feelings of tiredness and weakness. Severe cases include cirrhosis. The only treatment at this time for severe diseases of the liver is a liver transplant. This can lead to a lifetime of complications. Also, the need for donor livers greatly outweighs increasing demands for this type of transplant.

The need now is for researchers to work quickly to discover the method for converting pluripotent stem cells into the HhyP cells so that transplants of these cells into patients can occur. The team also will be working to see if there is an ability to reprogram HhyPs inside the body through traditional pharmacological medications to repair diseased livers without either the cell or organ transplants.

To view the original scientific study click below:
Single cell analysis of human foetal liver captures the transcriptional profile of hepatobiliary hybrid progenitors



Also in Articles

Constipation Emerges as Heart Disease Risk Factor
Constipation Emerges as Heart Disease Risk Factor

Recent research reveals that constipation is linked to a greater risk of heart attacks and strokes, with the danger escalating significantly in individuals who also suffer from high blood pressure. These findings underscore the importance of viewing constipation not merely as a digestive problem, but as a potential cardiovascular risk factor requiring serious attention.

Read More
Microplastics in Bones Speed Up Aging and Weakening
Microplastics in Bones Speed Up Aging and Weakening

Microplastics have become inescapable. We're ingesting them through food and water, and even inhaling them daily. These tiny fossil-fuel-based particles, smaller than 5 mm, have now been detected deep inside human bones, cartilage, and spinal discs. A recent study reveals that microplastics can penetrate bone tissue, including the marrow, where they may disrupt metabolic processes and harm skeletal health.

Read More
Ultra-Processed Food Dangers More Harmful Than Expected
Ultra-Processed Food Dangers More Harmful Than Expected

Ultra-processed foods now make up nearly 60% of calories in the average U.S. adult's diet. These highly manufactured items are increasingly dominating American eating habits. A major U.S. cohort study involving over 100,000 participants, found that those with the highest intake of ultra-processed foods had a 41% greater risk of lung cancer compared to those with the lowest intake.

Read More

Stem Cell and Anti-Aging Breakthroughs